Máu

Thành phần
Máu là một mô liên kết dịch, thể tích khoảng 7% TL cơ thể (5 lít máu ở người lớn) bao gồm:
- Huyết tương (plasma): DD treo của các TB máu, V bình thường: 40ml/kg, bao gồm nhiều chất quan trọng của cơ thể
- Thành phần hữu hình:
- Hồng cầu (RBC): 40-45% thể tích của máu, 30ml/kg trọng lượng cơ thể (TLCT)
- Bạch cầu (WBC) và Tiểu cầu (PLT): 1-2% TLCT
Mất máu ≥ 30% gây sốc, tụt huyết áp
Máu toàn phần không có chất chống đông
Còn khi không có chất chống đông, máu sẽ bao gồm:
- Màu đỏ: cục máu đông
- Màu vàng: Huyết thanh máu toàn phần lấy đi các thành phần hữu hình (TB máu, fibrinogen)
Định nghĩa huyết thanh là gì? Là thành phần máu sau khi đã loại bỏ hồng cầu và các chất đông máu

Tích chất
pH máu: 7,35 - 7,45 (HCO3-, H+)
- đo bằng khí máu ĐM
- Cực kỳ quan trọng !!!
- Phải lấy được từ máu động mạch
- Lấy máu tĩnh mạch không thể lượng giá
Chức năng chung của máu
- Hô hấp: vận chuyển OXY và CO2 của HC
- Dinh dưỡng: Chất dinh dưỡng của plasma
- Đào thải: thu nhận, vận chuyển các chất chuyển hóa của tế bào
- Bảo vệ cơ thể: kháng thể và lympho T & NK
- Điều hòa tình trạng đông máu và chảy máu
- Điều hòa hoạt động cơ thể: các hormone nội tiết
- Điều hòa nhiệt độ cơ thể: ~ 37o
Huyết tương

Protein HT
Albumin (54%) là protein huyết tương quan trọng nhất của huyết tương, tham gia 2 chức năng:
- 70-80% áp suất keo trong huyết tương,
- Liên kết vận chuyển các chất có phân tử nhỏ
Globulin (38%) là loại protein bao gồm enzym, kháng thể
- α1 - globulin (4%): glucoprotein,lipoprotein tỉ trọng cao (vận chuyển lipid)
- α2 - globulin (8%) bao gồm Haptoglobin (Gắn với Hb tự do), Erythropoetin
- β1 - globulin (7%), β2- globulin (4%): vận chuyển lipid. Các lipoprotein tỷ trọng thấp đóng vai trò lắng động cholesterol đóng vai trò trong các bệnh tim mạch (VD: xơ vữa ĐM).
- γ - globulin (17%) chứa các protein miễn dịch (kháng thể) IgG, IgA, IgM, IgE, IgD (GAMED).
Tỷ lệ Albumin/globulin (A/G) bình thường: 1-1,5
- A/G thấp: Bệnh lý thận, gan (giảm Albumin); tăng sản xuất Globulin (đa u tủy, bệnh tự miễn)
- A/G cao: Sản xuất không đủ globulin
Điện di
Trong bệnh lý xơ vữa ĐM thì lưu ý β-1, β-2-globulin; các bệnh thoái hóa tinh bột (amyloidosis) ? thì β 1,2 cũng tăng
Đa u tuỷ xương - tăng γ, giảm 4 cái còn lại (biểu hiện hình ảnh 1 con cua - crab)
- C - tăng calci - thường hay gặp trong táo bón (?)
- R - bệnh lý thận -
- A - anemia (thiếu máu)
- B - bone (huỷ xương)

Lipid HT
Ngoài acid béo tự do, phần lớn ở dạng kết hợp protein (hoà tan).
Vận chuyển:
- Chyloµn: TG-Chol-PL-vỏ β-LP, vận chuyển lipid thức ăn vào hệ bạch huyết.
- α-LP (HDL): lipid từ mô về gan.
- β-LP (LDL): vận chuyển cholesterol huyết tương (liên quan đến các bệnh tim mạch)
- Tiền β-LP (VLDL): acid béo tới mô.
Dinh dưỡng:
- Acid béo: nguyên liệu tổng hợp lipid.
- Thể ceton: nguồn NL (tăng khi nhịn đói)
- Cholesterol: tổng hợp hormon sinh dục, thượng thận, dịch mật.
⇒ Hàm lượng lipid toàn phần, tỉ lệ giữa các thành phần được điều hoà chặt chẽ.
Tăng TG và LDL -
Carbohydrate HT
Hầu hết ở dạng
- glucose tự do
- những chất chuyển hoá
- một số protein chứa đường
Chức năng chủ yếu là dinh dưỡng.
Dòng Hồng cầu
Giai đoạn phát triển
Giai đoạn trong tủy xương: Tiền nguyên HC → Nguyên HC ưa kiềm → Nguyên HC đa sắc → Nguyên HC ưa acid → HC lưới
Giai đoạn máu ngoại biên: HC lưới mất RNA → HC trưởng thành
Hình dạng Hồng cầu
Không nhân. Hình dĩa, lõm hai mặt → Tăng KN vận chuyển khí:
- Tăng diện tích tiếp xúc
- Tăng tốc độ khuếch tán khí
- Dễ dàng biến dạng khi qua mao mạch

Thành phần cấu tạo hồng cầu
Màng hồng cầu (màng bán thấm, xác định sức bền của HC):
- Lớp ngoài (Protein xuyên màng) (KN đặc hiệu của HC):
glycoprotein, glycolipid, acid sialic, band 3, glycophorin
- Acid sialic tích điện âm, làm cho HC không dính vào nhau
- Lớp lipid kép
- Mạng lưới cytoskeletal: spectrin phong phú nhất, kết dính với màng lipid, làm cho HC mềm mại, uyển chuyển, có thể dễ lách qua nơi hẹp
Bào tương: rất ít bào quan, chủ yếu Hb (2 bánh α, 2 bánh β)
Hemoglobin Hồng cầu
- Protein màu
- Trọng lượng phân tử (TLPT): 68.000 Da
- Chức năng: chuyên chở khí
Thành phần:
- Heme: sắc tố đỏ, giống nhau
- Globin: protein không màu, cấu trúc thay đổi
- Nồng độ Hb trong HC: 14-16g/dl (g%)

2,3-Disphosphoglycerate (2,3-DPG): làm giảm ái lực của oxy với Hb bằng cách liên kết với trung tâm của tetramer Hb, thay đổi cấu trúc của nó (Cạnh tranh vị trí gắn Fe với Oxy)
Hemoglobin kết hợp với O2 tuần tự
- O2 + Hb (Fe++/Hem) HbO2 (oxyhemoglobin)
- HbO2 + O2 Hb(O2)2
- Hb(O2)2 + O2 Hb(O2)3
- Hb(O2)3 + O2 Hb(O2)4
Hình thành, phân ly HbO2: rất nhanh, tuỳ thuộc phân áp oxy.
Fe2+ → Fe3+ (MetHb) → không nhả oxy ⇒ xanh tím
Số lượng HC
- Nam: 4,3 - 5,8tr/mm3
- Nữ: 3,9 - 5,4tr/mm3
Các yếu tố ảnh hưởng đến số lượng HC:
- Lượng Oxy đến mô
Mức độ hoạt động▪
Lứa tuổi (Tuổi càng nhỏ thì số lượng càng nhiều) - giới▪
Sự bài tiết▪
Erythropoetin▪
Bệnh lý▪
Miễn dịch
Xung đột KN - KT ⇒ nhóm máu, chứng nghiệm phù hợp, xét nghiệm Coômb
Bệnh lý Hb
Thiếu chuổi α hoặc β → α Thalassemia hoặc β Thalassemia
Thay đổi aa trên chuổi α hoặc β → biến thể Hb (Hb E, HbS) bth HD.
HbE (Sóc Trăng)
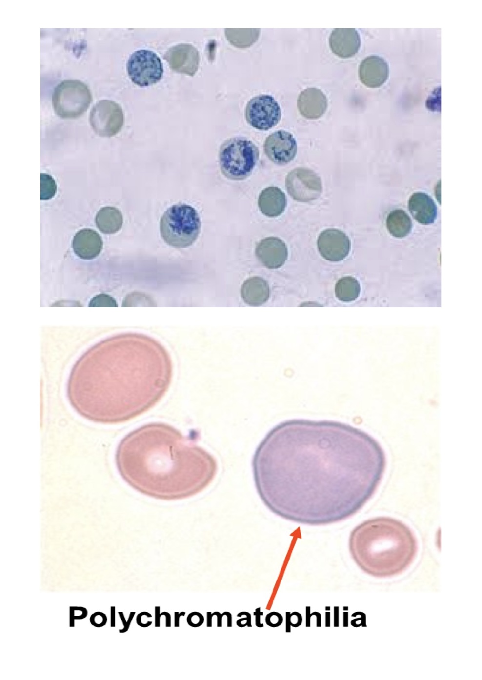
Hồng cầu lưới (Reticulocyte)
Là hồng cầu được phóng thích từ tủy xương vào tuần hoàn máu một ngày trước khi nó mất RNA còn lại để trờ thành HC trưởng thành.

Tuỷ xương bình thường có khả năng đáp ứng thiếu máu bởi tăng HCL từ 6-8 lần.
- Nếu thiếu máu do giảm sản xuất từ tủy xương thì HCL giảm.
- Nếu thiếu máu do tăng phá hủy HC hoặc mất máu thì HC lưới tăng cao
Tủy bình thường hoặc suy tủy không thấy HCL được
HC lưới tăng khi mất máu đột ngột phải huy động HC ở tủy vào máu hoặc khi có bệnh lý ác tính khi các dòng HC tăng sinh quá mức
Đếm số lượng HC lưới
Bình thường, SLHC lưới khoảng 0.5-1.5%
Số lượng tuyệt đối:
- 0.5% X 5,000,000/mm3 = 25,000/mm3
- 1.5% X 5,000,000/mm3 = 75,000/mm3
- 25.000 → 75.000/mm3
Hiệu chỉnh số lượng HC lưới (RI)
- Theo Hb: Hb b/n x HC lưới / 12g/dl
- Theo Hct: Hct b/n x HC lưới/ 45%
- Kết quả:
2 → tủy có đáp ứng với thiếu máu
- ≤ 2 → tủy kém đáp ứng với thiếu máu có đáp ứng với tình trạng thiếu máu hay ko?
Bạch cầu
Số lượng BC:
- Người trưởng thành bình thường: 4.000 - 10.000/mm3 (4 - 10 x 109/L)
- Giảm BC khi SLBC < 4.000/mm3 máu
- Tăng BC khi SLBC > 10.000/mm3 máu
- SLBC ↑: nhiễm khuẩn cấp tính, bệnh bạch cầu cấp hoặc mạn tính.
- SLBC ↓: nhiễm độc, nhiễm xạ, suy tủy.
Công thức BC
Nhiều loại CTBC, phân loại tùy theo mục đích nghiên cứu.
- CTBC thông thường: giúp tìm hướng xác định nguyên nhân bệnh.
- CT Arneth: Phân bố phần trăm của BC đa nhân trung tính dựa trên số thùy trong nhân (từ một đến năm).
- CT Shilling: Phương pháp đếm các bạch cầu đa nhân trung tính tách thành bốn nhóm theo số lượng và sự sắp xếp các hạt nhân trong các tế bào này.

CTBC thông thường:
- Bạch cầu đa nhân trung tính: 41 - 71%
- Bạch cầu đa nhân ưa acid: 0 - 8%
- Bạch cầu đa nhân ưa kiềm: 0 - 1%
- Bạch cầu đơn nhân: 3 - 5%
- Bạch cầu lympho: 20 - 49%
Đặc tính
Bạch cầu Xuyên mạch, Chuyển động bằng chân giả, Hóa ứng động

Các yếu tố ảnh hưởng tính thực bào:
- Bề mặt vật lạ
- Điện tích vật lạ
- Được opsonin hóa hay không.

Neutrophil

Eosinophil
Bên cạnh khả năng thực bào (kém hơn neutrophil), eosinophil có hức năng chính:
- Khử độc các protein lạ → tập trung ở đường tiêu hóa, hô hấp.
- Chống ký sinh trùng: gắn KST → giải phóng chất diệt KST (men thủy phân, polypeptid diệt ấu trùng).
- Tan cục máu đông: giải phóng plasminogen → plasmin → tan sợi fibrin.
Basophil
Hiếm gặp trong máu.
Không có khả năng vận động và thực bào.
Chức năng ≈ tb Mast:
- Giải phóng heparin.
- Giải phóng histamin và một ít bradykinin.
- Vai trò trong một số phản ứng dị ứng liên quan đến IgE.
Monocyte
Trong máu: chưa trưởng thành → không chức năng.
Mono ở trong máu sau khi ở mô khoảng vài giờ: Đại thực bào (cố định và lưu động)
Chức năng của đại thực bào:
- Thực bào: rất lớn → vai trò trong nhiễm khuẩn mạn tính.
- Miễn dịch: chỉ đóng vai trò khởi động quá trình miễn dịch.
Lymphocyte
Chức năng chủ yếu là miễn dịch. Có hai loại:
- Lympho B: miễn dịch dịch thể → kháng thể.
- Lympho T: miễn dịch tế bào → lympho hoạt hóa.
Nguồn gốc: tế bào gốc vạn năng ở tủy xương → tế bào gốc định hướng dòng lympho.


Dòng tiểu cầu
Tế bào không nhân.
Hình dạng không nhất định, thường hình đĩa ở trạng thái tĩnh.
d lớn = 2 - 4µm.
Cơ chế hình thành: nội phân bào của mẫu tiểu cầu.
Yếu tố điều hòa: thrombopoietin(gan).

Cấu trúc tiểu cầu
Màng TC: nhiều lõm ↑ diện tích tiếp xúc và làm TC xốp.
- Mặt ngoài: lớp khí quyển - vai trò quan trọng trong kết dính và ngưng tập TC.
- Mặt trong: hệ thống vi sợi, vi ống - duy trì hình dạng TC.
- Hệ thống ống: thâu nhận và giải phóng các chất.
Tế bào chất TC:
- Hạt đậm: chất kích hoạt TC.
- Hạt α: 50 - 80%, các protein đặc biệt của TC.
Ngoài ra, màng và bào tương TC: hệ thống protein co giãn thrombosthenin.

Số lượng & phân bố
Phân bố: 2/3 máu ngoại vi, 1/3 lách.
SLTC bình thường: 150.000 - 400.000/mm3 máu
Đời sống: 8 - 12 ngày (7 - 10 ngày)
Phá hủy: chủ yếu lách → gan, tủy xương.
Chức năng:
- Chủ yếu: tham gia vào quá trình cầm máu và đông máu.
- Tạo nút chặn TC, giai đoạn cầm máu sơ khởi
- Yếu tố 3 TC trong giai đoạn đông máu huyết tương
- Bảo vệ tế bào nội mô thành mạch.
- Ngoài ra, trung hòa hoạt động chống đông của heparin, tổng hợp protein và lipid, đáp ứng viêm...
Sự tạo máu
Hệ tạo máu là một cơ quan có hoạt động rất mạnh, tích cực thay đổi, thích ứng, thích nghi liên tục trong cơ thể con người.
Để bù đắp thay thế các tế bào cũ trong máu bị tiêu thụ mất qua sử dụng, như tiểu cầu, qua hoạt động thực bào, như bạch cầu, hay do già cổi, như HC,
Hàng ngày mô máu sản xuất mới khoảng 6 × 109 tế bào/Kg thể trọng. Ước tính có 1010 HC và 108-109 BC được sinh ra mỗi giờ, ở người trưởng thành

Cơ quan & thời gian tạo máu


Quá trình tạo máu
Hành trình trưởng thành của tế bào gốc được phân thành 2 nhóm:
- Chưa phân hóa theo dòng: tế bào gốc toàn năng → chưa phân định sẽ thành dòng tế bào nào.
- Đã phân hóa thành từng dòng: tế bào gốc đa năng → phân chia thành từng dòng riêng rẽ.
Sau khi tiến vào một hướng xác định dòng, các tế bào được phân thành 2 bể chứa (pool): có hay không còn khả năng phân bào.
- Bể phân bào (gồm các tế bào vừa phân bào vừa biệt hóa tiếp tới): dòng BC hạt, các nguyên tủy bào, tiền tủy bào và tủy bào có khả năng phân bào và biệt hóa tiếp,
- Bể không phân bào (các tế bào đã được biệt hóa rõ và chỉ trưởng thành dần tiếp tới chứ không phân bào được nữa): hậu tủy bào chỉ còn biệt hóa tiếp, mất khả năng phân bào
Các tế bào tham gia tạo máu
Tủy xương mang nhiều loại tế bào gốc tham gia tạo ra các thành phần của tủy
- Tế bào gốc trung mô (mesenchyme) tạo ra mô đệm (stroma)
- Tế bào gốc của tạo cốt bào (osteoblast)
- Tế bào gốc hệ tạo máu HSC (hematopoietic stem cell)
Tế bào gốc tạo máu được nhận diện và clôn-hóa thành công từ 1961, qua nuôi cấy trên môi trường lách, nên được đặt tên là CFU-S (Colony Forming Unit - spleen).
Các tế bào gốc HSC toàn năng, còn gọi là hemocytoblast, rất ít khi phân bào, thường ở giai đoạn G0 của chu kỳ tế bào, do vậy rất ít bị ảnh hưởng của tác nhân hóa chất hay xạ.
Khi phân bào chúng tự tạo ra tế bào giống chính mình, một phần trong số ấy biệt hóa tiếp tới thế hệ tế bào đa năng để biệt hóa thành từng dòng một.
Tế bào gốc tạo máu mang phân tử CD34 trên bề mặt nhờ đó có thể dùng làm dấu ấn (marker) để nhận diện.
Hầu hết thời gian tồn tại các tế bào gốc CD34 chỉ nằm ở tủy xương, một số cực ít di chuyển ra máu ngoại biên, nhờ tính chất ấy, có thể huy động các tế bào gốc bằng kỹ thuật đặc biệt dùng vào mục đích điều trị ghép tế bào gốc.
Do khả năng tạo khúm (colonies) người ta đặc tên là CFU (Colony Forming Units), thí dụ như CFU-E CFU-GM, CFU-G … Trong tủy, các tế bào tiền thân ấy định vị trong các “hốc” (niche) của tủy

Dấu ấn TBG

Điều hoà tạo máu
Các phân tử này đã được xếp thành 2 nhóm: đầu và cuối của quá trình biệt hóa của các tế bào hệ tạo máu.
Giai đoạn biệt hóa cuối cùng:
- Erythropoietin cho dòng HC
- Thrombopoietin cho dòng tiểu cầu
- GM-CSF cho dòng BC
- G-CSF riêng cho dòng BC hạt
- M-CSF cho dòng đơn nhân (monocyte)
- IL5 cho các BC eosinophil
Giai đoạn thật sớm của biệt hóa:
- SCF (Stem Cell Factor) hay Kit Ligand là yếu tố quan trọng nhất, một số interleukin như IL3, IL6 và chemokine như SDF1 huy động các tế bào gốc rời khỏi các hốc ra khoang tủy.
- Các GM-CSF, G-CSF và thrombopoietin cũng có tác dụng lên các tế bào gốc, chính vì vậy trong quy trình huy động tế bào gốc ra máu ngoại biên chuẩn bị thu gặt tế bào gốc cho mục tiêu ghép, người ta có thể dùng GM-CSF hoặc G-CSF.