Hệ tuần hoàn

Mao mạch:
- Cung cấp dinh dưỡng
- Trao đổi khí
- Đào thải chất độc

Cấu trúc mô học của tim
Về cấu tạo, tế bào cơ tim có những nét tương đồng với tế bào cơ vân, ngoài thì tế bào cơ tim cũng có các cấu trúc rất đặc biệt, tiêu biểu là hệ thống ống T (transverse tubules) và vi sợi cơ (myofibril).
- Hệ thống ống T: Là hệ thống ống nằm ngang theo chiều vuông góc với chiều của các vi sợi cơ. Hệ thống ống này thông thương với môi trường bao bọc xung quanh sợi cơ. Ống T cùng với 2 ống túi ngang của lưới nội bào trơn ở cạnh 2 bên tạo thành một bộ đặc biệt, gọi là bộ ba (triad). Đây chính là cấu trúc quan trọng giúp dẫn truyền điện thế và phóng thích ion Ca2+ từ lưới nội cơ tương trong hoạt động co cơ.
- Vi sợi cơ: cấu tạo từ những phân tử đặc hiệu, đó là siêu sợi actin và siêu sợi myosin.
Hai loại siêu sợi sắp xếp xen kẽ, có phần lồng vào nhau tạo thành vạch sáng, vạch tối xen kẽ đều đặn.
- Vạch sáng còn được gọi là băng I (I band), được chia đôi bởi 1 vạch sẫm màu được gọi là vạch Z (Z disc). Đoạn vi sợi cơ nằm giữa hai vạch Z gần nhau còn được gọi là Sacromere, đây là đơn vị co cơ.
- Vạch tối còn được gọi là băng A (A band).
- Lưới cơ tương (sarcoplasmic reticulum): tương tự như lưới ER trong tế bào bình thường, vai trò là trữ và phóng thích Ca2+ khi tế bào cần để co cơ.

Bảng so sánh 3 loại cơ trong cơ thể
| Tính chất | Cơ vân | Cơ tim | Cơ trơn |
|---|---|---|---|
| Myofilaments (thick & thin) | Có | Có | Có |
| Sarcomeres | Có | Có | Không |
| Siêu sợi | Có | Có | Không |
| Nhân | Nhiều nhân, Nhân nằm sát màng | 1 nhân, vị trí trung tâm | 1 nhân, vị trí trung tâm |
| Sarcoplasmic Reticulum | Có | Có | Có |
| T-tubules | Có | Có | Không |
| Liên kết tế bào | Không | Khoảng Dish | Liên kết Gap |
| Co cơ | Chủ động | Thụ động | Thụ động |
| Gắn kết canci | Troponin C (actin-based regulation) | Troponin C (actin-based regulation) | Calmodulin (myosin-based regulation) |
| Khả năng tái tạo | Có, nhờ tb vệ tinh | Không | Có |

Sarcomere
Bình thường Ca2+ bên trong tế bào được dự trữ trong lưới ER. Ở tế bào cơ tim thì lưới ER còn được gọi là lưới cơ tương.
Điểm chung của sự co cơ ở cả cơ vân và cơ tim là đều cần Ca2+ nội bào và cần có sự gắn của Ca2+ với troponin C.
Ở tế bào cơ vân, sự khử cực của màng tế bào kích thích sự giải phóng Ca2+ từ lưới ER mà không cần sự đi vào của Ca2+ từ ngoại bào.
Ngược lại, ở tế bào cơ tim, sự đi vào của Ca2+ là cần thiết để kích thích sự giải phóng Ca2+ từ lưới cơ tương.
Sự co cơ cần có sự tiếp xúc giữa myosin và actin ở vị trí phù hợp, kéo theo sự ngắn lại của sacromere. Bình thường thì điều gì đã ngăn cản sự tiếp xúc này? Đó chính là phức hợp protein kết hợp với các actin và myosin, mà ở đây ta nhắc tới:
- Tropomyosin
- Troponin: gồm có Troponin I (Inhibitor) cùng Tropomyosin phong tỏa điểm gắn gây co cơ giữa actin và myosin, Troponin T có vai trò liên kết Troponin I với Tropomyosin và cuối cùng là Troponin C khi liên kết với Ca2+ có thể phản ứng với tropomyosin làm lộ ra các vị trí hoạt động giữa actin và myosin chuẩn bị cho sự co cơ.
Khi có kích thích thì kích thích lan nhanh dọc màng bao cơ tim (sarcolemma) truyền từ tế bào này sang tế bào khác
kết với Ca2+ có thể phản ứng với tropomyosin làm lộ ra các vị trí hoạt động giữa actin và myosin chuẩn bị cho sự co cơ
Khi có kích thích thì kích thích lan nhanh dọc màng bao cơ tim (sarcolemma) truyền từ tế bào này sang tế bào khác (qua liên kết khe-gap junction) hoặc từ ngoài vào trong tế bào rồi lan rộng nhờ hệ thống ống T.
Ở tế bào cơ tim vào pha bình nguyên (pha 2) thì tính thấm của màng đối với Ca2+ tăng, xuất hiện sự đi vào của Ca2+ theo gradient điện ở các kênh Ca2+ trên màng bao cơ hoặc ở ống T.
Dù đi bằng con đường nào thì cái đích cuối vẫn là Ca2+ tự do xuất hiện ở tế bào gây co cơ. Lượng Ca2+ vừa đi vào không đủ thực hiện điều đó, nhưng nó đóng vai trò khơi mào (trigger) cho sự bài xuất Ca2+ từ nơi dự trữ (Sarcoplasmic Reticulum) thông qua kênh phóng thích Ca2+ với cái tên thụ thể Ryanodine (Ryanodine receptor). Hãy hình dung lưới cơ tương là túi có chứa rất nhiều viên đạn (Ca2+). Khi đó, Ca2+ ngoại bào đóng vai trò là các viên đạn được bắn vào túi (thông qua kênh Ca2+ nhạy cảm điện thếvoltage gated ion channel) thì túi sẽ nổ và giải phóng đạn trong túi ra. Đây mới là nguồn Ca2+ chính kích hoạt sự co cơ tim.

Đơn vị co cơ: tính từ 2 vạch Z - sợi mỏng actin, sợi dày myosin


Các tầng mô của tim
Thành tim gồm 3 lớp
- Lớp nội tâm mạc: nội mô và mô liên kết dưới nội mô (có thể chứa một số cơ trơn).
- Cơ tim:
- Mô cơ tim (tâm nhĩ, tâm thất và Purkinje)
- Mô liên kết: chứa các mạch máu cấp cho tim
- Lớp ngoại tâm mạc: lớp trung biểu mô (bm lát đơn), tiếp xúc với khoang gian lá thành và lá tạng màng ngoài tim

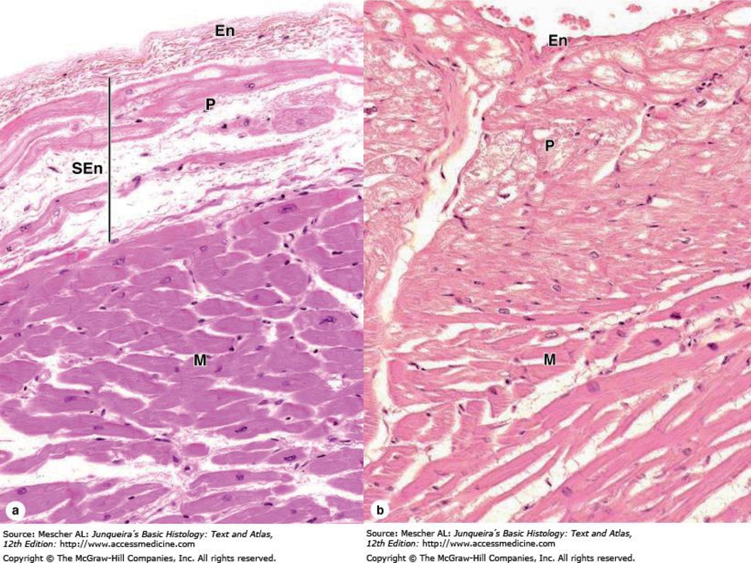
Lớp nội tâm mạc
Lớp nội tâm mạc có cấu trúc tương đương với áo trong của mạch máu, bao gồm:
- Lớp tế bào nội mô: nằm trên 1 lớp đệm mỏng là mô liên kết thưa có các sợi chun, sợi collagen và tb cơ trơn
- Lớp mô liên kết dưới nội tâm mạc: gắn kết lớp cơ tim với lớp đệm, có chứa
- Tĩnh mạch
- Dây thần kinh
- Các sợi nhánh của tb tạo xung (tế bào Purkinje)

Bó sợi Purkinje
- Ở dưới nội tâm mạc (subendocardium)
- Là các tế bào cơ tim đặc biệt cho sự dẫn xung chứ không phải là sự co lại.
- Các cơ tim của Bó Purkinje mật độ ít hơn trong mô cơ tim nhưng kích thước lớn hơn nhiều lần, bào tương chứa nhiều glycogen

Vi thể tb Purkinje, có đặc điểm là vi sợi cơ ít và tập trung ở vùng ngoại vi tế bào. Các vùng sáng quanh nhân là do sự tích tụ glycogen tại chỗ

Lớp ngoại tâm mạc
Ngoại tâm mạc (Ep) có cấu tạo gồm mô liên kết thưa (CT), có chứa mô mỡ (F) và các thần kinh tự động (N).
Ngoại tâm mạc của tim được bảo phủ bởi một lớp trung mô đơn tầng (Mes), các tế bào ở lớp trung mô này chế tiết một lớp dịch để ngăn sự ma sát giữa lá tạng và lá thành của màng ngoài tim khi tim co bóp. (Biểu mô đơn tầng → giảm ma sát)

Mạch máu
Cấu tạo của mạch máu
- Động mạch đưa máu dưới áp lực cao nên thành mạch dày
- Tĩnh mạch dẫn máu về tim, áp lực thấp nên thành mạch mỏng
- Cấu tạo chung: gồm 3 lớp (áo trong, áo giữa, áo ngoài). Tùy theo vị trí và tính chất mạch máu mà các lớp áo thay đổi để phù hợp chức năng tương ứng

Thành TM mỏng hơn thành ĐM do ĐM phải chịu áp lực máu cao nên thành dày.
Vai trò của mạch máu:
- Các động mạch chun (dẫn máu từ tim): Các ĐM chủ, chậu chung, chậu ngoài, đùi → nhiều sợi Elastic
- Các động mạch cơ (kích thước trung bình - phân nhánh từ động mạch chun đi vào cơ quan): ĐM thận, gan, lách → số lượng sợi Elastic giảm, thay thế bằng mô cơ trơn
- Các tiểu động mạch
- Mao mạch: trao đổi chất giữa máu và mô
- Tĩnh mạch
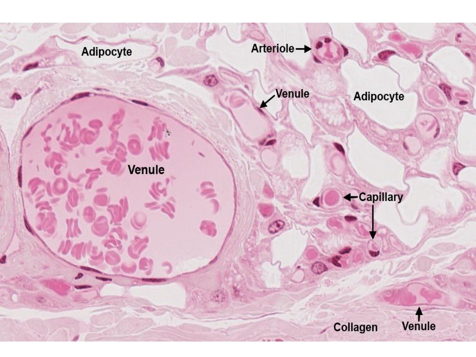
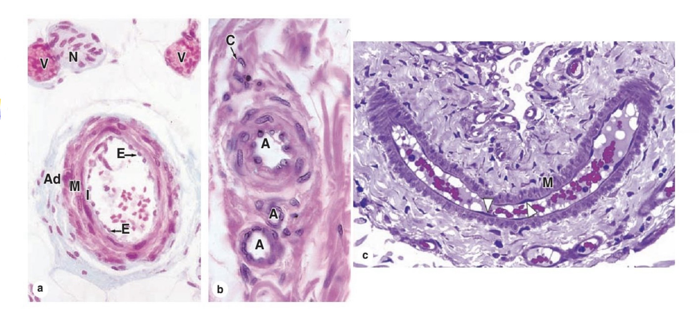
Cấu trúc của vi mạch: Động mạch (A), mao mạch nhỏ (C) và tĩnh mạch (V) tạo nên hệ vi mạch
- TM to nhưng ĐM luôn có thành dày

Động mạch
Các động mạch được tạo nên từ 3 lớp áo:
- Áo trong: 1 lớp tế bào nội mô, mô liên kết trung gian lỏng lẽo dưới nội mô, màng chun trong
- Áo giữa: tế bào cơ trơn đi cùng sợi collagen, sợi chun
- Áo ngoài: mô liên kết, màng chun ngoài phân cách lớp áo giữa với lớp áo ngoài
Chia thành 3 nhóm: động mạch chun, động mạch cơ, tiểu động mạch
MÀNG CHUN giúp phân biệt TM và ĐM: Trừ TM chủ ra, tất cả TM đều không có màng chun.
Động mạch chun
Ba lớp áo:
- Áo trong: tb nội mô và mô liên kết dưới nội mô
- Áo giữa: bó tb cơ trơn xen kẽ sợi chun
- Áo ngoài: mạch máu, thần kinh, mạch bạch huyết

Phóng lớn lớp áo ngoài cho thấy hình ảnh của các mạch nuôi mạch (A) với các mao mạch và xoang (V). Cũng có thể thấy được một số sợi thần kinh giao cảm (N). Phía trên lớp áo ngoài là lớp áo giữa với các sợi cơ (SM) và sợi chun (E) xen kẽ

Lớp áo ngoài tương đối dày ở các ĐM lớn sẽ có mạch nuôi và sợi TK
Hội chứng Marfan
Kém đàn hồi do thiếu sợi chun:
- Đột biến NST thường
- Phình ĐM chủ trên giải phẫu
- Bất thường xương và mắt
Động mạch cơ
Động mạch cơ là những động mạch phân phối
- Áo giữa: giảm sợi chun và tăng sợi cơ trơn (tăng nhưng vẫn ít hơn ĐM chun)
- Màng chun ngoài nằm giữa lớp áo giữa và áo ngoài















Tiểu động mạch và mao mạch
Tiểu động mạch
- Có đường kính từ 20 – 130 um
- Áo trong có lớp tế bào nội mô và màng chun trong
- Áo giữa có 2-5 lớp tb cơ trơn đồng tâm
- Áo ngoài có collagen mỏng
Mao mạch
- Đường kính rất nhỏ, 5 – 10 um, thường chỉ lọt 1 tb hồng cầu
- Không có tb cơ trơn, tạo nên bởi 1 lớp tb nội mô và được bao phủ bởi lớp màng đáy (dày 0.5 um)
3 loại mao mạch
- Mao mạch liên tục với nhiều thể liên kết tế bào, giúp sự trao đổi diễn ra ở tất cả các tế bào - Mao mạch có lỗ thủng với các lỗ nhỏ qua tế bào
- Mao mạch không liên tục, hay các xoang, với lòng rộng, có khoảng trống lớn giữa các tế bào nội mô, và lớp màng đáy không liên tục
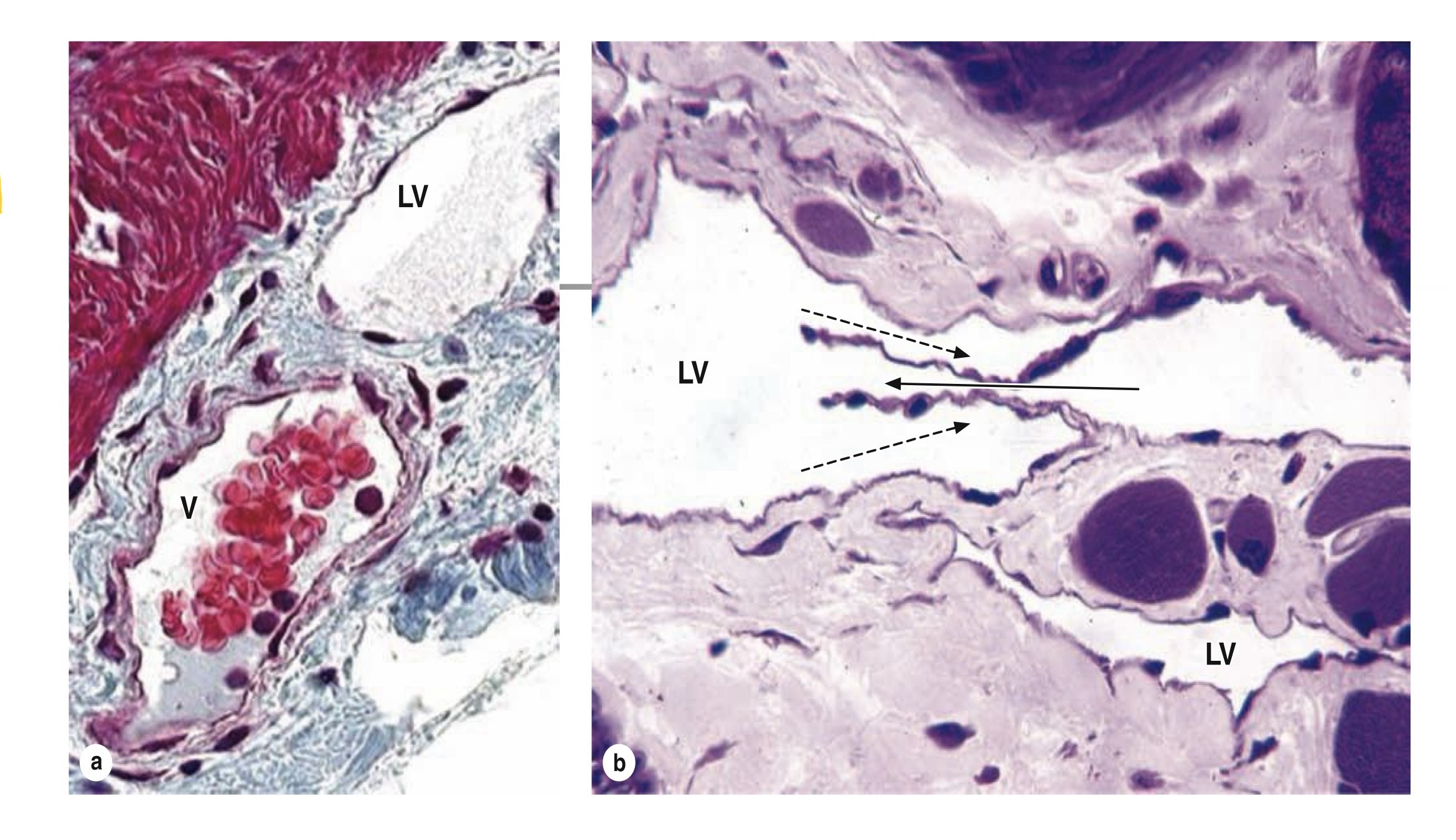
Tĩnh mạch
Thành tĩnh mạch mỏng hơn động mạch cùng kích thước
Cũng có 3 lớp áo
- Sự phân biệt giữa áo ngoài và áo giữa không rõ
- Áo trong: tb nội mô và lớp dưới nội mô kém phát triển, không có màng chun trong
Đặc trưng có van tĩnh mạch, là lớp áo trong bị đẩy vào
Chức năng tế bào nội mô
Điều khiển sự phát triển mạch máu, tb nội mô tiết ra các yếu tố kích hoạt quá trình tân sinh mạch máu (hồi phục vết thương, khối u)
Tạo ra prostacyclin, giúp ngăn chặn kết tập tiểu cầu trong nội mạch, tránh hình thành cục máu đông (thrombus)
Tb nội mô điều hòa quá trình hoạt động cơ trơn, kích hoạt quá trình đông máu, điều hòa sự di chuyển tb viêm
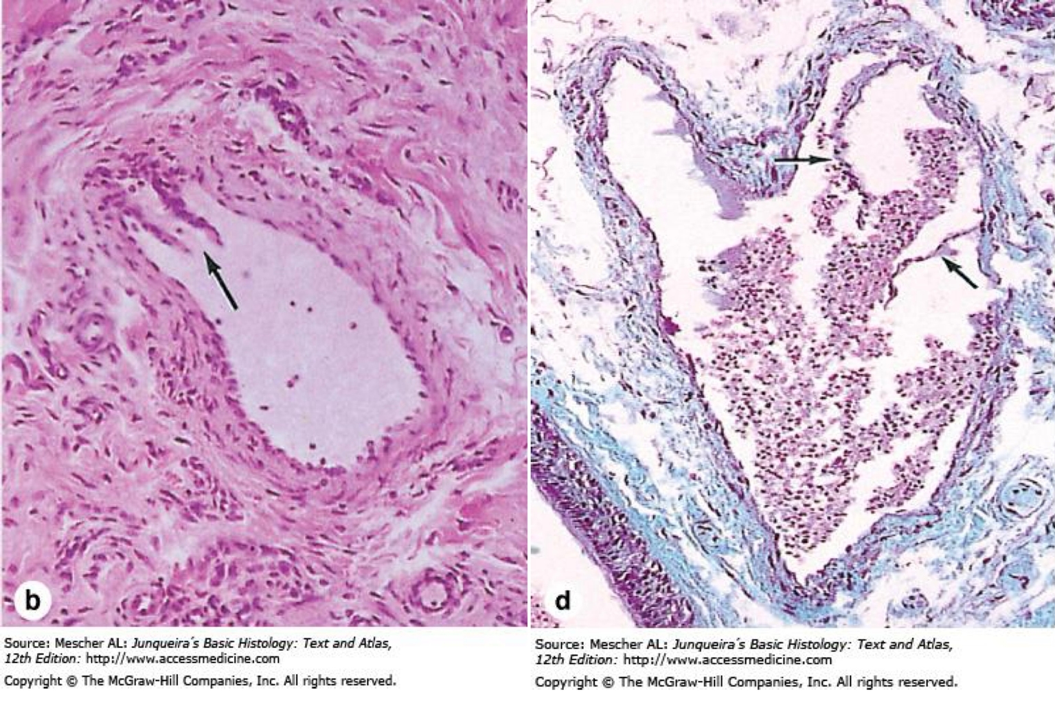
Sự thoái triển động mạch
Các tổn thương xơ vữa động mạch có biểu hiện tại chỗ là dày áo trong, do
- Tăng sinh cơ trơn và chất nền gian bào
- Tích đọng cholesterol bên trong các tb cơ trơn và đại thực bào. Khi lipid tích đọng nhiều, các tb trên sẽ tạo thành “tb bọt”, tạo nên các mảng xơ mỡ
Khi áo giữa bị suy yếu, thành ĐM có thể bị giãn quá mức, gây ra “túi phình động mạch”
Giãn tĩnh mạch
Do sự suy yếu của lớp cơ áo giữa gây ra bởi sự tăng áp trong lòng mạch
Vị trí thường gặp: chân, trực tràng – hậu môn (trĩ), ở vùng thấp thực quản, thừng tinh
Hệ bạch huyết
Phần dịch mô kẽ không được dẫn lưu theo các tiểu tĩnh mạch bằng áp lực thủy tĩnh sẽ được dẫn lưu theo đường mạch bạch huyết thông qua hệ thống mao mạch bạch huyết
Có ở hầu hết các mô, trừ: sụn, xương, da, thần kinh trung ương, tủy, bánh nhau
Thành mạch gồm 1 lớp tb nội mô (thiếu lớp tb đáy) và khoảng cách giữa các tế bào nội mô xa nhau