Giới thiệu
Xâm lấn và di căn là những đặc tính rất quan trọng của tế bào ung thư. Các tế bào bướu tăng sinh thoát khỏi sự kiểm soát của cơ thể nhưng chỉ trở thành ung thư một khi có được khả năng xâm lấn mô xung quanh và/ hoặc di căn đến cơ quan khác.
Đây cũng là những đặc tính làm cho ung thư nguy hiểm, ảnh hưởng đến sức khỏe, đe dọa tính mạng người bệnh.
Xâm lấn và di căn là những đặc tính quan trọng nhất của bướu ác tính
- Xâm lấn do các tế bào ung thư thiếu gắn kết với nhau và với mô xung quanh, có khả năng tiêu hủy mô xung quanh, di chuyển bằng chân giả vào mô xung quanh.
- Các tế bào ung thư khi xâm lấn có thể đi vào mạch lymphô hay mạch máu, dẫn đến di căn hạch và di căn xa.
Tiến trình di căn xuất phát từ sự di chuyển cơ học của tế bào ung thư. Để tồn tại qua quá trình di chuyển, phát triển được trong môi trường mới các tế bào ung thư phải thoát khỏi hệ miễn dịch của cơ thể chủ, thích nghi với môi trường mới. Trong quá trình này các tế bào ung thư có những chuỗi đột biến tương ứng.
Phổi, gan, xương, não là những cơ quan thường bị ung thư di căn nhất.
Xâm lấn và di căn có thể gây chảy máu, đau nhức, tắc nghẽn, rối loạn suy chức năng… các cơ quan dẫn đến tử vong nếu không điều trị hiệu quả.
Tình huống 1
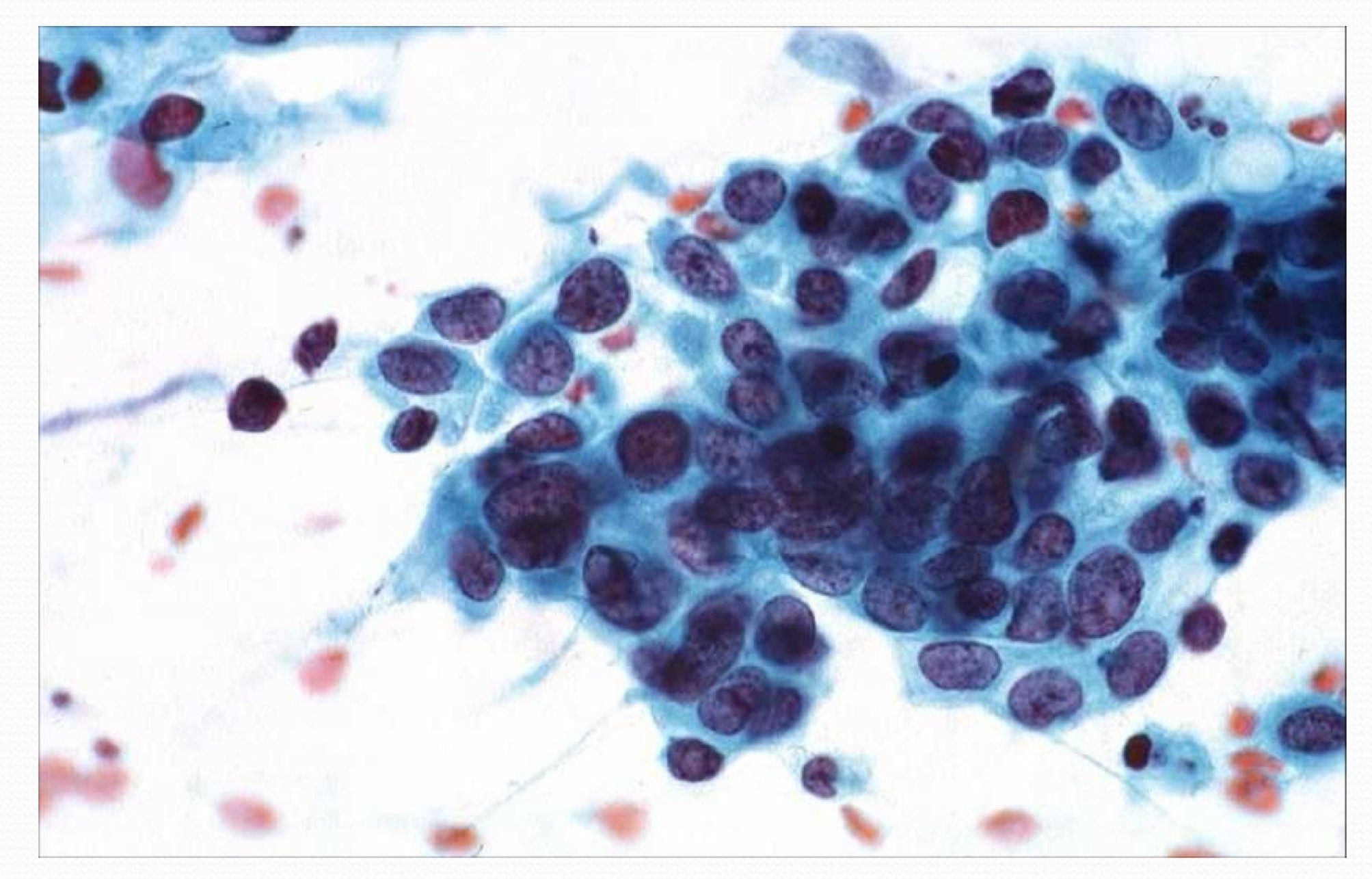
Tháng 01/2012, cô S. 35 tuổi kiểm tra sức khỏe định kỳ, tầm soát ung thư cổ tử cung có xét nghiệm Pap như sau.




So sánh tử cung


Cô được đề nghị nhập viện nhưng không nhập viện vì thấy sức khỏe tốt, sinh hoạt và làm việc bình thường.
Tháng 05/2013: bệnh nhân bị chảy máu âm đạo máu đỏ tươi lượng ít, đến khám tại bệnh viện.
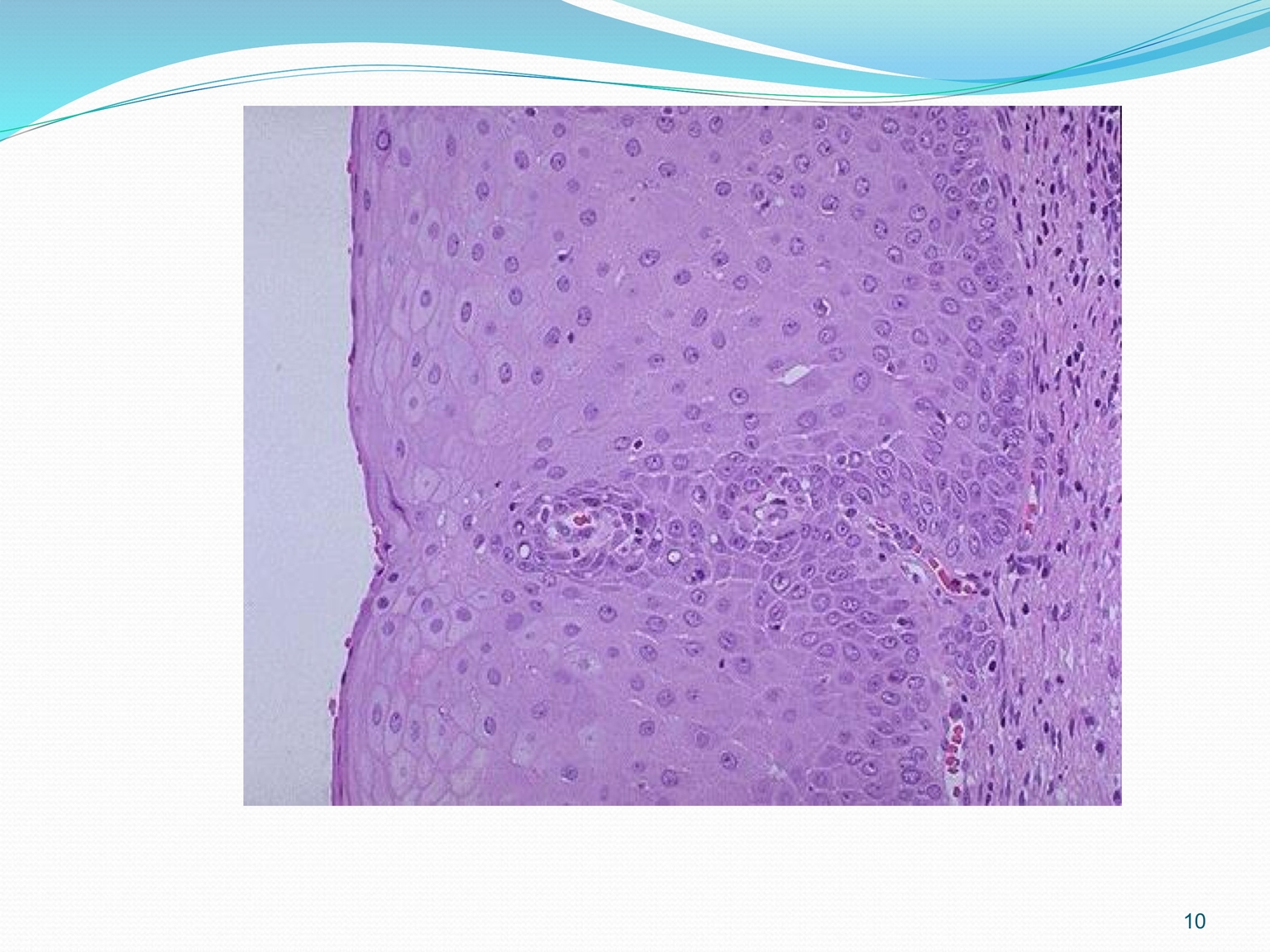
Khám lâm sàng phát hiện sùi quanh lổ cổ tử cung kích thước 2,5 cm chưa xâm lấn các túi cùng, chu cung 2 bên mềm. Thân tử cung không to, vách âm đạo trực tràng mềm, hạch bẹn, hạch trên đòn không sờ đụng. Kết quả sinh thiết: carcinôm tế bào gai, xâm lấn, grad 2



Tại sao tế bào ung thư có thể xâm lấn xung quanh?
Nguyên nhân và cơ chế gây ung thư cổ tử cung?
Tình huống 2
Bệnh nhân được phẫu thuật cắt tử cung toàn bộ, 2 phần phụ, nạo hạch chậu 2 bên.
Kết quả: bướu: carcinôm tế bào gai grad 2. Các diện cắt chu cung, âm đạo: không có tế bào ung thư. Hạch: carcinôm tế bào gai grad 2 hiện diện ở 2/12 hạch.

Bệnh nhân được điều trị bổ túc sau mổ bằng hóa xạ trị đồng thời vào vùng chậu
Tại sao tế bào ung thư hiện diện tại hạch chậu?
Tế bào ung thư cổ tử cung thường đi đến hạch vùng nào? Tại sao?
Tế bào ung thư ở hạch chậu giống hay khác tế bào ung thư ở bướu
Tình huống 3
Bệnh nhân được theo dõi định kỳ mỗi 3 tháng trong vòng 2 năm đầu kết quả ổn định. Tổng trạng tốt, sinh hoạt, lao động bình thường.
Tại thời điểm tái khám 24 tháng sau điều trị, bệnh nhân có được chụp CT scan bụng chậu kiểm tra: bình thường.
Sau đó tái khám mỗi 6 tháng trong 3 năm tiếp theo.

Tại sao khi phẫu thuật kết quả xét nghiệm không còn tế bào ung thư ở diện cắt phẫu thuật, nạo hết hạch chậu, bệnh nhân ổn định vẫn phải theo dõi tái khám định kỳ?
Mục đích của tái khám sau điều trị
Tình huống 4
Đến tháng 02/2017, bệnh nhân ho khan ngày càng tăng dần, kéo dài 2 tháng → đến tái khám. Bệnh nhân được khám lâm sàng không thấy bướu tái phát tại chỗ hay vùng chậu, hạch trên đòn T 1,5cm cứng di động kém
- CT scan bụng chậu: hạch cạnh động mạch chủ bụng 4cm, thận (T) ứ nước độ 2, thận (P) ứ nước độ 1. Không thấy tổn thương gan.
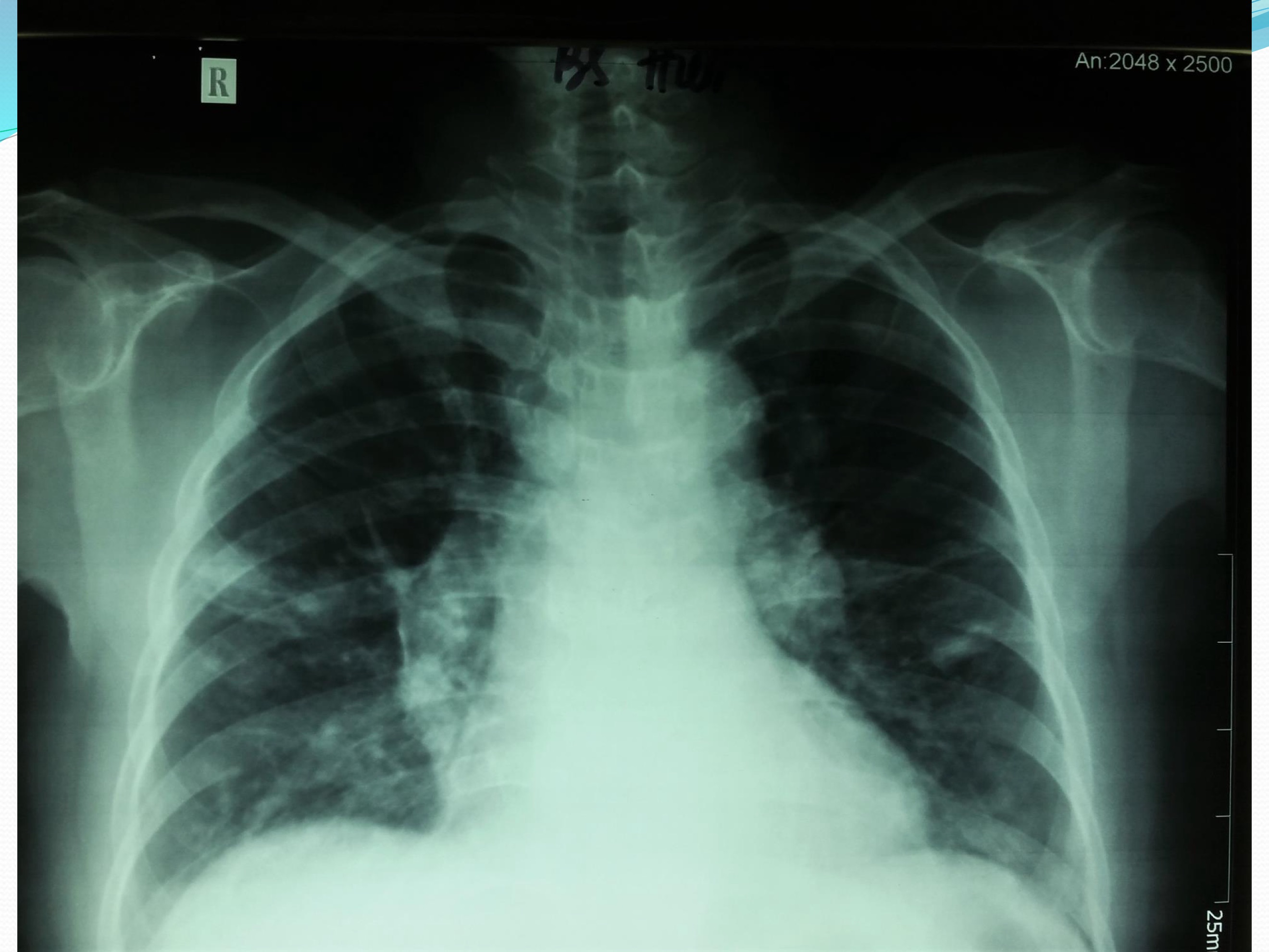
- X quang ngực thẳng: tổn thương đám mờ 2 phổi
- CT scan ngực: tổn thương phổi đa nốt 2 bên 0,5-1cm




Tại sao có các tổn thương ở hạch cạnh động mạch chủ bụng, hạch trên đòn và phổi?
Tại sao sau khi điều trị hơn 4 năm các tổn thương mới xuất hiện
Tình huống 5
Bệnh nhân trên được chẩn đoán là ung thư cổ tử cung đã điều trị di căn hạch cạnh động mạch chủ bụng, hạch trên đòn, phổi.
Bệnh nhân được làm xét nghiệm máu cho thấy có suy chức năng thận, chức năng gan bình thường, công thức máu bình thường. Bệnh nhân được hóa trị đến nay được 4 chu kỳ, hiện ổn định